Diensten bij paarden
Dr. Dominique De Clercq (DVM - PhD - publicaties - Dipl.ECEIM) is een EBVS Europees erkend internist specialist - hartspecialist voor paarden. Ze doet zowel routine- als gespecialiseerde onderzoeken aan huis. Ze is gespecialiseerd in niet orthopedische prestatieproblemen.




















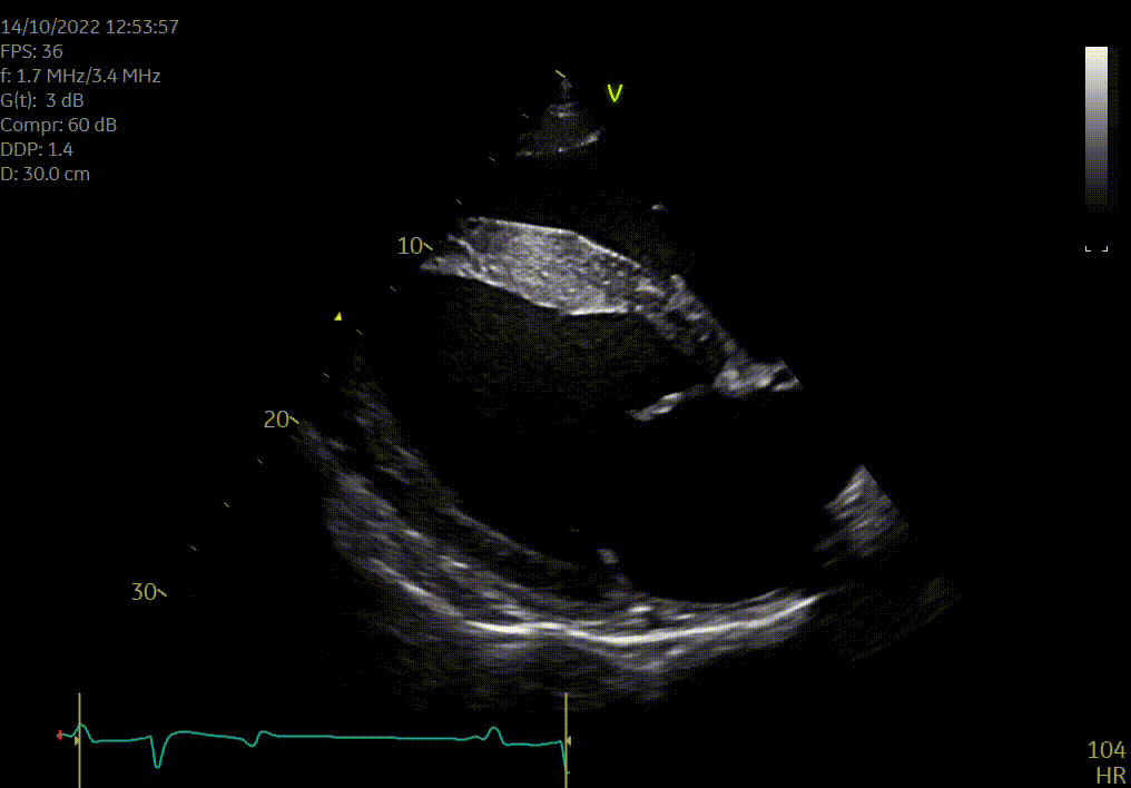
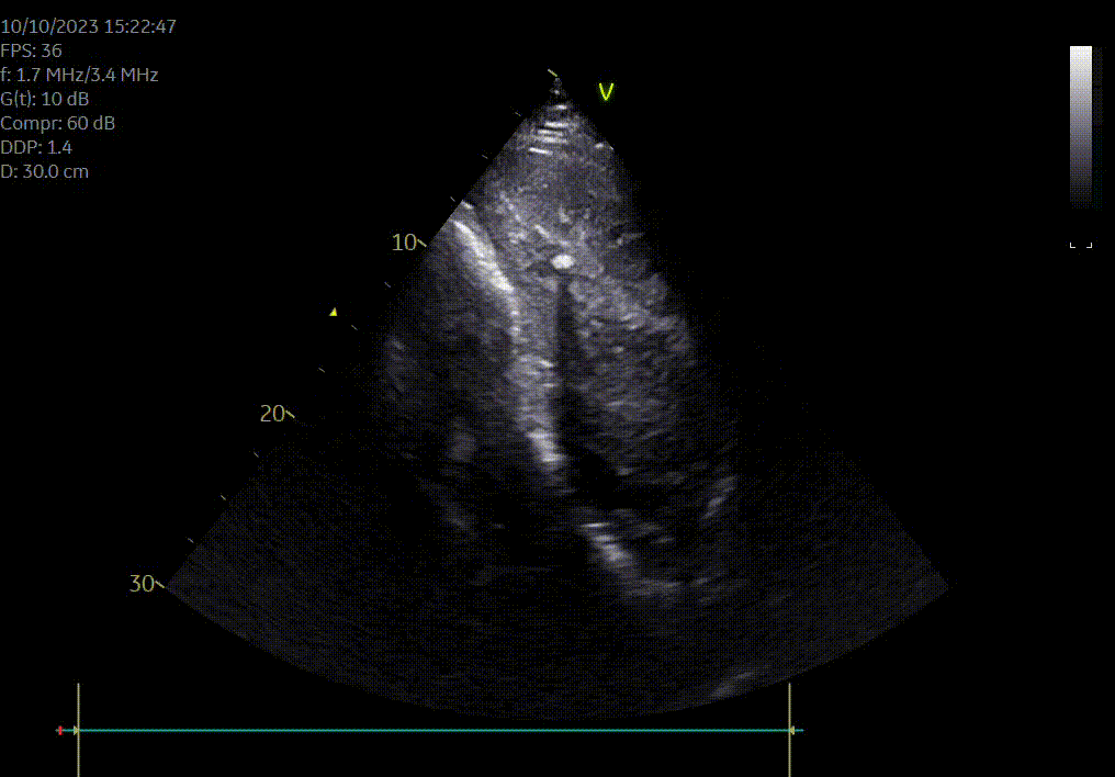
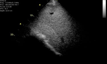
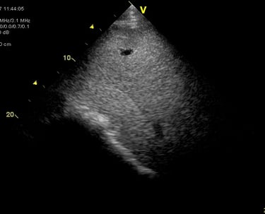
Heeft uw paard een hartruis? Dan is het aanbevolen om een echocardiografie (hartonderzoek) en een inspanningstest met elektrocardiogram (EKG) te laten uitvoeren. Zo kunnen we beoordelen of het veilig is om uw paard te berijden. Een hartruis is namelijk niet altijd een probleem. Met een echocardiografie onderzoeken we of het hart een normale structuur en werking heeft en bepalen we de ernst van eventuele klepafwijkingen.
Voor een uitgebreid hartonderzoek hoeft u niet langer naar een kliniek. Zowel de echocardiografie als de inspanningstest met elektrocardiogram kunnen eenvoudig bij u ter plaatse worden uitgevoerd.
Wij voeren hartonderzoeken uit op locatie in heel België, Nederland, Frankrijk, Duitsland en Luxemburg.
Hartonderzoek - Echocardiografie - Electrocardiografie (EKG)
Consult aan huis







Longonderzoek (endoscopie, echografie, tracheal wash, radiografie)
Mobiele endoscopie/echografie - Consult aan huis
Heeft uw paard last van een aanhoudende of terugkerende hoest? Dan is het aangewezen om een endoscopie (cameraonderzoek) van de luchtwegen te laten uitvoeren. Hoesten wordt namelijk niet altijd veroorzaakt door astma. Tijdens het onderzoek kunnen we ook stalen nemen voor microscopisch en bacteriologisch onderzoek. Op basis van deze resultaten stellen we een behandelplan op maat van uw paard op.
In sommige gevallen is aanvullend een echografie van de longen aangewezen. Dit wordt steeds per situatie beoordeeld en met u besproken.
Longonderzoeken worden uitgevoerd op locatie in heel België, Nederland, Frankrijk, Duitsland en Luxemburg.







Maag (gastroscopie) - en darmonderzoek (OGTT test, echografie)
Consult aan huis
uw paard te mager of te dik? Of vermoedt u dat uw paard last heeft van maagzweren, een verteringsprobleem of insulineresistentie? De nodige onderzoeken kunnen eenvoudig bij u aan huis worden uitgevoerd.
Voor een maagonderzoek (gastroscopie) dient uw paard minimaal 12 uur nuchter te zijn. Na het toedienen van een lichte sedatie voeren we met een camera een inspectie uit van de maag en het begin van de dunne darm.
Bij zowel magere als te zware paarden kunnen aanvullende verteringstesten worden uitgevoerd om na te gaan of er sprake is van een malabsorptiesyndroom of insulineresistentie. Het is belangrijk om te weten dat ook magere paarden in sommige gevallen een vergevorderd stadium van insulineresistentie kunnen hebben.
Onderzoeken van maag en darmen worden uitgevoerd op locatie in heel België, Nederland, Frankrijk, Duitsland en Luxemburg.








Tandonderzoek - Oroscopie - Radiografie
Mobiele paardentandarts - Consult aan huis
We zijn ons er steeds meer van bewust dat een jaarlijkse tandcontrole bij paarden, net zoals bij mensen, essentieel is. Een gezond paard begint immers bij een gezond gebit. Tijdens dit onderzoek worden indien nodig kleine correcties uitgevoerd ter hoogte van het kauwvlak. Deze aanpassingen helpen om op lange termijn ernstigere problemen, zoals tandfracturen, te voorkomen.
In sommige gevallen wordt aanvullend een oroscopie (cameraonderzoek) uitgevoerd, zodat eventuele afwijkingen duidelijk in beeld kunnen worden gebracht.
Tandonderzoeken worden uitgevoerd binnen een straal van 20 km rond de praktijk.






Lever - nieronderzoek
Consult aan huis
Een bloedonderzoek toont aan dat de leverwaarden niet optimaal zijn. Een gerichte anamnese en en inspectie van de omgeving (toxische stoffen, voeding, aanwezigheid andere dieren....) is zeer belangrijk bij de aanpak van een leverprobleem. een echografie van de lever kan soms de oorzaak van het leverprobleem aantonen (abces, verstopte galgangen, steentjes of gruis, gezwollen ontstoken lever, tumor). Lees het artikel over leverproblemen bij paarden.....
Paarden kunnen uitzonderlijk een nierprobleem hebben. Echografie van de nieren, al dan niet gecombineerd met een endoscopie van de urinewegen kan een meerwaarde zijn om de oorzaak van het probleem aan te pakken.
Onderzoeken van de lever en nieren worden op verplaatsing uitgevoerd in gans België, Nederland, Frankrijk, Duitsland en Luxemburg.










Standaard en geavanceerd bloedonderzoek
Als EBVS Europees erkend internist specialist (Dipl. ECEIM) ben ik de geschikte persoon om u advies te geven over inwendige problemen bij uw paard. Zowel een routine bloedonderzoek of gespecialiseerde onderzoeken kunnen uitgevoerd worden en met u besproken worden. Vervolgens wordt er een op maat gemaakt behandelplan opgesteld voor uw paard.


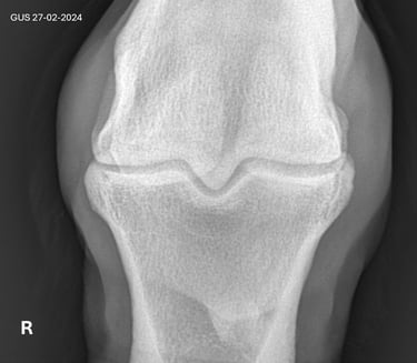
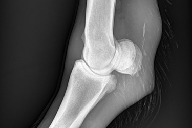
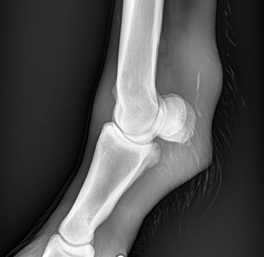
Is uw paard mank, hoefbevangen of is er een vermoeden van een halsprobleem? Dan kan het aangewezen zijn om een radiografisch onderzoek (RX) aan huis uit te voeren. Wij beschikken over een digitaal mobiel radiografietoestel, waardoor opnames eenvoudig bij u ter plaatse kunnen worden gemaakt.
Wij maken geen radiografische opnames in het kader van een radiografische keuring.
Dit onderzoek wordt uitgevoerd binnen een straal van 20 km rond de praktijk.
Radiografie (RX)
Consult op de praktijk of aan huis







Bij sommige paarden zijn wormen zichtbaar in de mest, maar vaak blijft een besmetting onopgemerkt met het blote oog. De aanwezigheid van wormeieren kan enkel worden vastgesteld via een gespecialiseerd mestonderzoek. Aangezien er verschillende soorten wormen bestaan, is een gerichte aanpak per type noodzakelijk voor een doeltreffende behandeling.
Het mestonderzoek wordt in eigen praktijk uitgevoerd, waardoor we snel een resultaat kunnen garanderen. U kunt mest van uw paard per post (goed verpakt) opsturen of persoonlijk afgeven in de praktijk voor analyse.
Mestonderzoek
Consult aan huis







De ogen van uw paard zijn bijzonder gevoelig. Merkt u iets abnormaals op, dan is het belangrijk om dit tijdig te laten onderzoeken. Een oftalmologisch onderzoek, eventueel aangevuld met een echografie van het oog, kan waardevolle informatie opleveren.
Op basis van de bevindingen stellen we een behandelplan op maat van uw paard op.
Oogonderzoeken worden uitgevoerd binnen een straal van 20 km rond de praktijk.
Oogonderzoek
Consult aan huis






In een straal van 20km rond de praktijk doe ik routineonderzoeken bij paarden. Indien blijkt dat er gespecialiseerd onderzoek nodig zou zijn dan zult u daar gericht advies over krijgen.
algemeen klinisch onderzoek
vaccinaties
op maat gemaakt ontwormingsschema opstellen
voedingsadvies
manken
...
Routine onderzoek
Consult aan huis








Contact
Telefoon
© 2025. All rights reserved.
Adres
Begonialaan 19, 1770 Liedekerke

